4月6日,我院消化内科成功开展两例胃肿瘤经内镜粘膜下剥离术(ESD)。该项技术的开展,标志着我院消化内镜技术再上新台阶,将为消化道疾病患者提供更好的微创治疗服务。
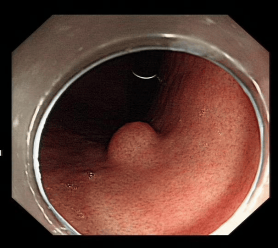
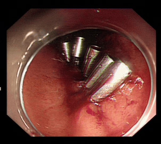
患者在胃镜检查时发现胃粘膜下肿物,考虑间质瘤可能,如不及时切除有可能恶变,需行内镜下粘膜剥离术(ESD)。由于此手术创伤小、恢复快,经与患者及家属沟通后,完善相关术前准备后,在安徽省第二人民医院消化内科王俊先主任指导下,消化内科、内镜中心及麻醉科医护人员的密切配合下,成功为患者进行手术,术中无明显出血、穿孔,术后各项生理指标正常,手术取得圆满成功。
ESD即内镜粘膜下剥离术,方法是在内镜粘膜下注射基础上利用几种特殊的高频电刀,将病变所在粘膜剥离。通过ESD可完整的切除病变,达到根治消化道肿瘤的效果。
ESD主要适用于EMR(内镜下粘膜切除术)不能整片切除的超过2cm的癌前病变或淋巴结转移的早期癌,以及超过2cm的平坦型病变。
食管病变:
1.Barrett食管(食管下段的鳞状上皮被柱状上皮覆盖);
2.早期食管癌:局限在粘膜层和没有淋巴结转移的粘膜下层早期食管癌;
3.食管癌前病变:直径<2cm的病灶采用EMR,直径>2cm的病灶推荐ESD治疗;
4.食管良性肿瘤:包括息肉、平滑肌瘤、食管乳头状瘤等。
胃病变:
1.早期胃癌①肿瘤直径≤2cm,无合并存在溃疡的未分化型粘膜内癌;②不论病灶大小,无合并存在溃疡的分化型粘膜内癌;③肿瘤直径≤3cm,合并存在溃疡的分化型粘膜内癌;④肿瘤直径≤3cm,无合并溃疡的分化型粘膜下层癌;
2.癌前病变直径<2cm的病灶采用EMR,直径>2cm的病灶推荐ESD治疗;
3.良性肿瘤,如胃息肉、胃间质瘤、异位胰腺、脂肪瘤等,包括部分来源于有肌层的肿瘤。
大肠病变:
1.巨大平坦息肉 直径<2cm的息肉采用EMR,直径>2cm的平坦息肉建议采用ESD治疗,可一次性完整切除病灶,降低复发率;
2.粘膜下肿瘤,来源于粘膜肌层或位于粘膜下层的肿瘤,通过ESD可以完整剥离,来源于固有基层的肿瘤,不主张勉强剥离;
3.类癌,尚未累及肌层的直径<2cm类癌可以通过ESD完整切除,位于直肠的类癌一般可以切除。
禁忌症:
严重的心肺疾病、血液病、凝血功能障碍,病变抬举征阴性,有胃肠镜检查禁忌症者,肿物表面有明显溃疡或瘢痕者,超声内镜提示癌已浸润粘膜下2/3以上者。
消化内科金课主任表示:在日常生活中,大家一定要有定期体检的意识。对于有胃肠道不适或有胃肠道肿瘤家族史的人群,应尽早进行胃肠镜检查;对于无症状人群,建议从40-45岁开始定期进行胃肠镜检查,以提高消化道早期病变的检出率,做到早诊断早治疗。
我院消化内科常规开展胃肠道疾病诊治;肝胆胰腺疾病诊治;常规开展胃镜、肠镜、无痛胃肠镜检查;内镜下消化道息肉切除、消化道异物取出;内镜下粘膜切除(ESD);食管支架植入、食管狭窄扩张、碳13、14呼气试验。目前正在参与国家卫生部“上消化道癌早诊早治”项目。
金课主任联系方式:15212552127
专家门诊时间:周四全天
内镜中心联系电话:0557-6031713
王俊先,安徽省第二人民医院消化内科主任,主任医师,医学博士,安徽医科大学及安徽理工大学硕士生导师。
擅长技术:胆总管结石的内镜下微创治疗(ERCP)、幽门螺杆菌的个性化根除、消化道早癌的内镜下诊断及治疗、非感染性肝病的治疗。
主要科研方向:药物性肝损伤的基础研究与临床诊治;幽门螺杆菌的精准治疗。
先后在上海长海医院等国内知名大型医院进修学习。从事临床工作30年,对消化系统危急重症及疑难疾病的诊治有丰富的经验。熟练胃肠镜检查、经内镜下息肉切除、营养管置入、经内镜下消化道支架置入术(急括食管支架、十二指肠支架、结直肠支架、胆道支架等)、食管胃底静脉曲张内镜下治疗(包括硬化剂、套扎)、消化道狭窄内镜下扩张术、经内镜粘膜切除术(EMR)、经内镜粘膜下切除术(ESD)、经内镜粘膜肿瘤挖除术(ESE)、经口内镜下贲门括约肌切开术(POEM)、经内镜下幽门括约肌切开术(G-POEM)、胆胰疾病的内镜下微创治疗(ERCP)。发表论文十余篇,其中SCI论文4篇。
现任中国幽门螺杆菌分子医学中心安徽分中心主任、中国医师协会安徽省内镜分会常委、中华医学会安徽省消化病学分会ERCP学组委员、中华医学会安徽省循证医学分会委员、中国医师协会安徽省消化病学分会早癌学组委员、安徽省健康服务业协会消化病学分会常委、安徽省内镜质控专家组成员。
金课,安徽省第二人民医院灵璧医院消化内科副主任,副主任医师。宿州市医学会消化病学专业委员会副主任委员,宿州市炎症性肠病专委会常务委员。
擅长功能性胃肠病,肝硬化,溃疡性结肠炎,胃十二指肠顽固性溃疡,胰腺炎诊治。对胃肠镜检查、内镜下息肉治疗、消化道早癌诊治、食管异物取出、支架植入等具有丰富经验。


