刘彪 影像科
灵璧县人民医院放射科攻克技术难关,正式开展CT增强阈值触发式扫描技术,弥补了时间经验法扫描的局限性。
增强CT即在CT扫描中,当病变组织和器官与正常组织密度接近时,病变组织不易显示。当引入造影剂后,不同的组织结构,不同的病变性质,对造影剂吸收的数量(含碘量)和分布(碘分布)都有各自的特点和规律。不仅图像对比度增加,病变组织和正常组织的界线清晰,其密度、形态、大小等显示更为突出,这样也有利于病变的检出和诊断。
多年来,灵璧县人民医院放射科行CT增强检查时,均以时间经验法来估计延迟扫描时间,而由于人的个体差异,如年龄、体重、血液循环及病变的差异,容易错过病变最佳显示时间。这给临床诊断带来了一定局限性。
增强阈值触发式扫描是一种软件功能,即事先设定靶血管,用CT透视模式扫描,一旦靶血管内CT值到达设定阈值,自动启动扫描。这样既能避免个体差异及不同脏器造影剂通过时间不同造成各个时相差异,又能避免小剂量造影剂试验的麻烦。与时间经验法扫描技术相比,CT增强触发扫描技术可以对不同的患者提供个性化增强解决方案,为广大患者提供强有力的技术保障。

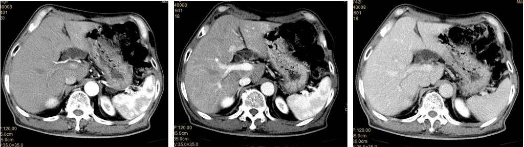
肝脏三期扫描(动脉期、门脉期、延迟期),准确抓住每个时相
利用CT增强阈值触发式扫描及图形后处理功能检查头颈部血管图像
阈值触发式扫描适应症:
1.颅脑:脑肿瘤、脑血管病变、颅内感染性病变和先天变异等。
2.胸部:适应于病变与正常组织密度相仿的病变、观察病变血供情况、血管本身有无病变以及结核与肺癌鉴别等。
3.腹部:肝癌、肝血管瘤、局限性脂肪肝、肝门癌栓、胆管及胆总管病变、胰脾肾占位性病变、胃肠道病变、腹腔肿块及血管病变等。
4.头颈部血管瘤,血管狭窄等疾病,胸腹主动脉(夹层、动脉瘤、脉管炎),肾脏CTU等。
各种CT增强检查方法优缺点
|
检查技术 |
优点 |
缺点 |
|
时间经验法 |
1、简单、方便、快捷 2、便于掌握,适合不同技术素质扫描技师 |
1、不能体现患者个体化差异,不同患者之间图像质量波动性差 2、成功率完全依赖检查技师专业素养 |
|
阈值触发式 |
1、操作相对简单 2、能保证不同患者之间图像质量的一致性 3、一定程度上体现了患者的个体化特征,成功率较高 |
监测兴趣区的设置影响检查成功与否
|
|
小剂量测试法 |
相对精确预测强化峰值及达峰时间 |
1、个体患者检查时间长,检查通量较低 2、使用较多对比剂,不利于肾脏保护,潜在增加肾病(CIN)发生率 3、不符合临床检查技术要求,如泌尿系增强、CTU、尿路结石等,尤其是首诊、疑诊患者 |


