11月5日,我院普外三科运用腹腔镜微创技术,成功为肝血管瘤患者进行手术治疗,患者术后恢复良好。这是我院完成的首例腹腔镜下“左肝外叶切除术”,此次手术的成功实施,标志着我院在肝脏微创外科手术领域取得新突破。
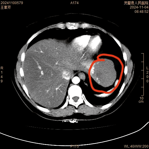
患者53岁,腹胀伴恶心20余年,一直保守治疗。2天前于外院体检时发现左隔下脾胃前上间隙内团块软组织密度影,与肝左叶分界不清。患者及其家属至我院普外三科寻求进一步治疗。
普外三科汤军主任结合患者病史、查体以及CT等检查,初步诊断为“肝血管瘤”,拟用微创手术方式治疗。
肝脏是腹腔最大的实质性器官,血管比较丰富,切除时容易出血,术中难以有效地控制。腹腔镜下肝切除术是高难度手术之一,是微创外科领域的难点。
汤军主任邀请曹葆强院长会诊指导,对患者病情及治疗进行详细评估,并制定了“腹腔镜左肝外叶切除术”方案。
经过患者和家属同意,完善术前准备后,在曹葆强院长的指导下,普外三科团队在麻醉科及手术室的共同配合下,成功开展首例腹腔镜下左肝叶切除术,在不损伤右侧肝叶的情况下,切除直径近7cm大血管瘤。术中可见肝血管瘤与左侧膈肌黏连,腔镜下完整剥离瘤体,手术顺利,出血少,术后病人恢复快,第二天即下床自主活动。
腹腔镜技术实施左肝外叶切除,具有切口小、创伤轻、出血少、恢复快、痛苦小,住院时间短等许多优点。我院普外三科立足于学科发展,以腹腔镜微创治疗为特色,常规开展腹腔镜下肝脏肿瘤切除术、肝囊肿去顶术、巨脾切除术,胆囊切除术、胆总管切开取石术等微创手术,取得良好疗效,尤其是腹腔镜联合胆道镜胆总管切开取石、经皮肝胆管穿刺引流、腹腔镜胃及结直肠恶性肿瘤根治等高难度的手术,达到了市内领先水平。





