医院动态

首页>医院动态>院级新闻>【品牌科室】神经外科特色技术

【品牌科室】神经外科特色技术

发布时间:2023-11-14 08:53来源:安徽省第二人民医院灵璧医院(灵璧县人民医院)宣传科阅读量:
   安徽省第二人民医院灵璧医院神经外科下辖普通病区和神经重症监护室(NICU)两个病区,是灵璧县集颅脑创伤、神经肿瘤、脑血管病、脑出血、三叉神经痛等功能性疾病及癫痫帕金森等治疗技术于一体的全方位、立体化的优势专科。在安徽省第二人民医院神经外科主任、安徽省第二人民医院灵璧医院神经外科行政主任张永明指导下,神经外科主任魏山带领下,神经外科业务水平、技术实力得到快速发展,培养出了一批优秀的年轻技术骨干。科室现拥有德国莱卡显微镜、蛇牌电凝、头架、小旋风骨动力系统、Codman颅内压监护仪,呼吸机,冰毯,间歇脉冲加压抗栓等先进的神经系统专科仪器设备,能够全方位对神经重症患者实施动态监测和治疗。

   一、颅脑创伤个体化精准救治技术
颅脑创伤是神经外科常见病、多发病,近十年来,我们成功诊治了大量重型颅脑损伤患者,尤其在特重型颅脑损伤、原发性脑干伤、弥漫性轴索损伤等方面积累了丰富的经验,并形成了以“神经多模态监测、亚低温治疗、镇静镇痛、大骨瓣减压以及精准化脑保护”等核心技术为特色的一体化标准化救治方案,重型颅脑创伤患者死亡率逐年降低,达到国内一流水平。

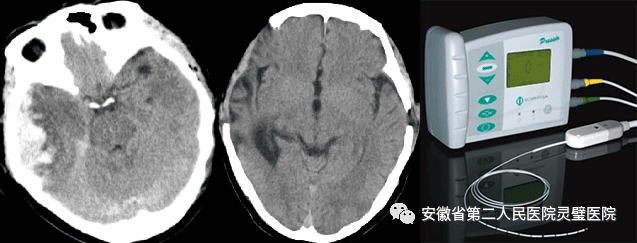
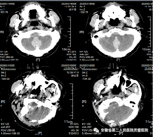
   硬膜下血肿、脑挫裂伤术前和术后 颅内压监测

   大骨瓣减压术治疗硬膜下血肿及切口

   后颅窝及小脑半球外伤手术前后

   重型颅脑损伤(GCS 3分),脑疝,个体化切口设计

   二、神经肿瘤的综合治疗技术
   常规开展各型颅内及脊髓肿瘤手术,包括鞍区肿瘤、斜坡肿瘤、后颅窝等颅底肿瘤,尤其在听神经瘤、颅咽管瘤、垂体瘤等治疗方面处于国内领先水平。系统开展胶质瘤的综合治疗,并结合肿瘤基因指标,提升胶质瘤的放化疗效果,极大提高5年的存活率。



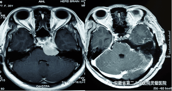
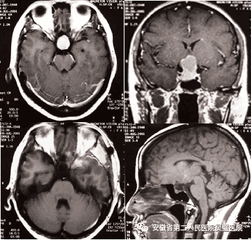
   垂体瘤手术前后


   岩斜区脑膜瘤术前及术后
   三、脑血管病的综合治疗技术
   脑血管病亚专业组紧跟国际前沿,目前全面开展颅内动脉瘤、脑动静脉畸形、硬脑膜动静脉瘘等脑血管病的外科及血管内治疗,尤其对复杂颅内动脉瘤,灵活运用支架及球囊辅助、双微导管、液态栓塞剂栓塞、覆膜支架等技术,取得良好效果。开展烟雾病血管搭桥、颈内内膜剥脱术等脑血管外科手术。

   手术夹闭基底动脉尖端动脉瘤

   动脉瘤弹簧圈栓塞模拟过程

   前交通动脉瘤术前和术后

   颈内动脉动脉瘤术前和术后

   动静脉瘘术前和术后

   颈内动脉内膜剥脱术

   烟雾病行血管搭桥+硬膜翻转+颞肌贴敷术
   四、脑出血的综合治疗技术
   脑出血是临床常见神经重症,原发性高血压是最常见原因之一,根据病人的不同特点,我科形成了从保守治疗、微创治疗到去大骨瓣减压等系列个性化特色技术,临床救治水平达到国内先进水平。

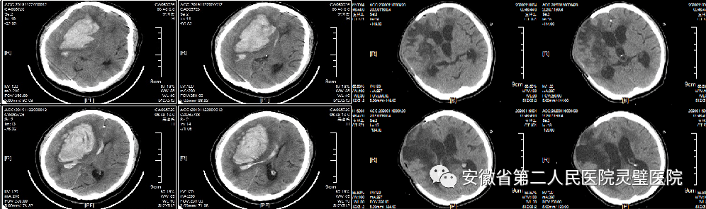
   经额穿刺血肿引流术

   经颞小骨窗神经内镜下血肿清除术

   去大骨瓣减压术+脑内血肿清除术
   五、功能性疾病治疗技术
   1、开展微血管减压术治疗三叉神经痛、面肌痉挛及舌咽神经痛,开展微球囊压迫治疗三叉神经痛。
   2、结合视频脑电图,开展癫痫术前评估,开展致痫灶切除术、前颞叶切除术、选择性海马切除技术、迷走神经刺激等手术。
   3、采用深部电刺激(DBS)治疗帕金森病。

   血管减压手术切口及术中图片

   球囊压迫治疗三叉神经痛

   视频脑电图

   颅内电极植入

   深部电刺激DBS
   六、DBS(脑深部电刺激)技术
   DBS手术,又称脑起搏器,是治疗脑神经系统疾病的有效方法,它是在脑内特定的神经核团植入电极,释放高频电刺激,抑制过度兴奋的神经元的电冲动,减低了其过度兴奋的状态,从而减轻特发性震颤的症状,从而起到治疗的效果。

   适应征:
   帕金森氏病特发性震颤肌张力障碍性疾病植物状态生存以及老年痴呆等。

   七、VNS(迷走神经刺激)手术
VNS是指迷走神经刺激治疗,是一种不开颅的神经调适治疗癫痫的方法。它改变了以往开颅手术切除病灶的治疗模式。该方法对于药物不能控制的难治性癫痫起到了积极的治疗作用,通过刺激人体左侧迷走神经,来改善大脑的放电规律,起到控制癫痫发作的作用。
   适应征:
   1、癫痫,经长期服药控制不良者,颅内无明确癫痫灶或癫痫灶不确定者,或不愿行开颅癫痫灶切除术及开颅手术失败的患者,无慢性心、肺疾病,无胃、十二指肠溃疡史等,年龄无具体限制,只要能耐受全麻及手术即可,
   2、植物人及昏迷病人促醒。

   八、SCS(脊髓电刺激)手术
高颈段SCS手术,目前广泛用于长期昏迷病人促醒治疗,机理:通常认为这种方式能改善昏迷病人患者的脑电生理活动,影响神经递质水平及增加脑血流,并刺激网状激活系统。

   SCS手术治疗患者的电生理标准:
   1、在听觉诱发电位可以记 录到V波,即使存在长时间的延迟。 
   2、体感诱发电位可以记录到N20,即使存在长时间的延迟。 
   3、脑电图示异常或者轻微异常。
   4、痛觉诱发电位P250记录到的振幅超过7v。

   在安徽省第二人民医院神经外科张永明教授指导下,在魏山主任的带领下,我院神经外科团队将在多个亚专科齐头并进、均衡发展,技术水平逐步走向省内领先、国内一流的行列。我院神经外科精湛的技术也必将会挽救更多患者的生命,并为更多的颅脑损伤、脑血管疾病、脑肿瘤等患者提供更加优质的医疗服务,提高患者的生存率及生活质量。
   专家简介

   张永明,医学博士,主任医师,教授,硕导,安徽省第二人民医院神经外科主任,安徽省第二人民医院灵璧医院神经外科行政主任,美国斯坦福大学博士后。
   从事神经外科工作近20余年,擅长各型脑脊髓肿瘤、颅脑外伤及癫痫帕金森等手术,特别在鞍区肿瘤、后颅窝肿瘤及重型颅脑损伤及植物人促醒等方面具有丰富的临床经验。主持省部级课题4项,发表学术论文50余篇,其中SCI收录9篇。编写专著1部,参与编写神经外科相关疾病中国专家共识8篇。目前为中华脑科疾病与康复杂志、安徽医学杂志编委,中华创伤杂志、安徽医药等特邀审稿专家
   目前学术任职:中国研究型医院神经外科神经重症分会常委,世界华人神经外科颅脑创伤专委会常委,中华医学会创伤学会神经创伤专家组委员,中华医学会神经外科分会神经创伤学组委员,安徽省全科医师协会颅脑创伤神经重症分会主委,安徽省医学会神经外科学分会常委,安徽省医师协会神经外科学分会常委,安徽省医师协会神经修复学会常委,安徽省医师协会脑胶质瘤专业委员会常委,安徽省微创医学会神经外科专业委员会委员。

   魏山,神经外科主任,主任医师
   擅长重度颅脑损伤的处理,脑血管疾病的介入检查与治疗,自发性脑出血显微镜开颅及微创钻孔引流,脑积水分流,三叉神经痛微血管减压术,颅内肿瘤的治疗等。2000毕业于蚌埠医学院,2006年在安徽医科大学第一附属医院神经外科进修一年,对于颅脑损伤疾病诊治具有丰富的临床经验。现任宿州市卒中专业委员会副主任委员。
   科室电话:0557-6082236